Penyakit Amandel Bisakah Di Obati Tanpa Harus Tindakan Operasi

Penyakit Amandel Bisakah Di Obati Tanpa Harus Tindakan Operasi

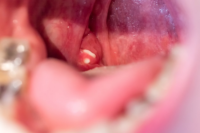
Penyakit Amandel Merupakan Kondisi Pada Tenggorokan Dewasa Dan Anak Anak Yang Di Sebabkan Oleh Bakteri Di Tandai Dengan Batuk Pilek Atau Flu. Ada beberapa penyakit terkait dengan amandel ini yang terbagi ke dalam beberapa jenis poin yang kami berikan ini. Pertama yakni ada tonsilitis adalah kondisi di mana amandel palatina tersebut mengalami kondisi peradangan, biasanya di sebabkan oleh infeksi virus atau bakteri. Di ketahui gejalanya termasuk sakit tenggorokan, kesulitan menelan, pembengkakan yang di sertai rasa tidak nyaman, demam, dan kelelahan. Penyakit Amandel yang terus-menerus mengalami pembengkakan atau membesar dapat menyebabkan masalah pernapasan, terutama pada anak-anak. Kondisi ini dapat memerlukan penanganan, terkadang melalui pembedahan. Batu amandel itu sendiri adalah massa kecil yang terbentuk di dalam kripta-kripta atau lubang-lubang amandel.

Mereka dapat menyebabkan bau napas yang tidak sedap dan kadang-kadang gejala lain seperti sakit tenggorokan atau kesulitan menelan. Kemudian ada abses amandel (Peritonsillar Abscess), Ini adalah kondisi yang jarang terjadi di mana infeksi Penyakit Amandel menyebabkan penumpukan nanah di sekitar area tersebut. Gejalanya dapat mencakup seperti halnya nyeri hebat, kesulitan menelan, dan pembengkakan pada satu sisi tenggorokan. Meskipun bukan penyakit, namun di ketahui amandelktomi adalah prosedur pembedahan yang di lakukan untuk mengangkat amandel. Ini biasanya di lakukan jika seseorang sering mengalami tonsilitis berulang atau memiliki masalah lain dengan amandel tersebut. Maka dari itu penting untuk berkonsultasi dengan dokter atau ahli THT jika anda mengalami gejala seperti sakit tenggorokan yang berulang, kesulitan menelan, atau pembengkakan pada area amandel. Dokter akan melakukan pemeriksaan fisik dan dapat merekomendasikan pengobatan yang sesuai tergantung pada kondisi yang mendasarinya.

Penyebab Penyakit Amandel Bervariasi Tergantung Pada Jenis Penyakitnya

Penyebab Penyakit Amandel Bervariasi Tergantung Pada Jenis Penyakitnya. Berikut adalah beberapa penyebab umum penyakit tersebut yang akan kami jelaskan dengan seksama. Infeksi virus, seperti virus yang menyebabkan flu atau infeksi mononukleosis, dapat menyebabkan tonsilitis. Infeksi bakteri, terutama oleh bakteri Streptococcus, dapat menyebabkan tonsilitis bakteri atau streptokokus. Jika area tersebut yang terus-menerus mengalami pembengkakan maka akan dapat di sebabkan oleh infeksi yang berulang atau faktor genetik. Batu amandel terbentuk oleh penumpukan sisa-sisa makanan, sel-sel kulit mati, dan bakteri di dalam kripta-kripta atau lubang-lubang amandel. Abses amandel biasanya berkembang sebagai komplikasi dari tonsilitis bakteri yang tidak di obati atau tidak di tangani secara efektif.

Pengangkatan amandel (amandelktomi) di lakukan sebagai tindakan pembedahan ketika seseorang mengalami masalah amandel berulang, tonsilitis berulang, atau kondisi lain yang memerlukan pengangkatan amandel. Beberapa faktor risiko yang dapat meningkatkan kemungkinan seseorang mengalami penyakit tersebut meliputi berikut. Anak-anak lebih rentan terhadap tonsilitis dibandingkan orang dewasa. Paparan terhadap individu yang menderita penyakit menular, seperti flu atau infeksi streptokokus, maka akan dapat meningkatkan risiko infeksi amandel. Sistem kekebalan yang melemah maka akan dapat membuat seseorang lebih rentan terhadap infeksi amandel. Penting untuk mencari perawatan medis jika mengalami gejala penyakit tersebut, seperti sakit tenggorokan yang berat, kesulitan menelan, atau pembengkakan pada area amandel. Dokter dapat memberikan diagnosis yang tepat dan meresepkan pengobatan yang sesuai berdasarkan penyebab dan jenis penyakit yang di alami.

Beberapa Hal Yang Sebaiknya Di Hindari Oleh Penderita Penyakit Ini

Penderita penyakit tersebut sebaiknya menghindari beberapa faktor atau kebiasaan yang dapat memperburuk gejala atau menyebabkan iritasi pada amandel. Berikut adalah Beberapa Hal Yang Sebaiknya Di Hindari Oleh Penderita Penyakit Ini. Merokok dapat menyebabkan iritasi pada amandel dan memperburuk gejala penyakit amandel. Tahukah kamu bahwasannya paparan asap rokok juga dapat meningkatkan risiko infeksi. Kemudian ada minuman beralkohol dapat menyebabkan dehidrasi, yang dapat membuat tenggorokan kering dan iritasi. Sehingga demikian hal ini dapat memperburuk gejala penyakit amandel. Makanan pedas dan asam dapat menyebabkan iritasi pada tenggorokan dan amandel. Maka dari itu sebaiknya hindari makanan ini jika tenggorokan sedang meradang. Makanan panas, pedas, atau kasar maka dapat meningkatkan iritasi pada amandel. Oleh karena itu sebaiknya hindari makanan yang dapat menyebabkan ketidaknyamanan.

Terlalu lama atau terlalu sering terpapar udara dingin dapat memperburuk gejala penyakit amandel. Gunakan pakaian yang sesuai untuk menjaga kehangatan. Kemudian kurang tidur dan kelelahan dapat melemahkan sistem kekebalan tubuh, membuat tubuh lebih rentan terhadap infeksi. Pastikan untuk mendapatkan istirahat yang cukup. Kurangnya asupan cairan dapat menyebabkan dehidrasi, yang dapat membuat lendir tenggorokan lebih kental dan meningkatkan risiko iritasi. Adapun penting untuk menghindari kontak dengan orang yang sedang menderita infeksi saluran pernapasan, terutama jika sistem kekebalan tubuh anda sedang melemah. Berbicara atau berteriak secara berlebihan dapat menyebabkan iritasi pada amandel. Hindari berbicara dengan suara keras dan beristirahatlah jika suara anda terasa lelah. Mengorek atau menyentuh amandel dengan benda-benda yang tidak bersih dapat meningkatkan risiko infeksi. Biarkan dokter atau ahli THT yang merawat anda yang menangani amandel.

Metode Pengobatan Yang Umumnya Di Gunakan Untuk Mengatasi Berbagai Penyakit Amandel

Pengobatan penyakit amandel akan tergantung pada jenis penyakit amandel yang dialami oleh seseorang. Berikut adalah beberapa Metode Pengobatan Yang Umumnya Di Gunakan Untuk Mengatasi Berbagai Penyakit Amandel. Jika tonsilitis disebabkan oleh virus, maka pengobatannya biasanya bersifat simtomatik. Pemberian obat pereda nyeri, minum banyak cairan, dan juga istirahat dapat membantu meredakan gejala. Tonsilitis bakteri, terutama yang di sebabkan oleh bakteri Streptococcus, maka biasanya di obati dengan antibiotik. Antibiotik harus di minum sesuai petunjuk dokter dan hingga habis, meskipun gejalanya di anggap terlihat telah mereda. Pengobatan untuk amandel bengkak tergantung pada penyebabnya. Jika infeksi menyebabkan pembengkakan, maka dokter mungkin meresepkan antibiotik. Dalam beberapa kasus, jika amandel terlalu besar dan menyebabkan masalah pernapasan, maka pembedahan untuk mengangkat amandel dapat direkomendasikan. Pengobatan batu amandel melibatkan pengeluaran akan batu tersebut.

Ini dapat di lakukan dengan cara membersihkan amandel atau dengan memencet batu-batu kecil tersebut. Dalam beberapa kasus, dokter THT (Telinga, Hidung, Tenggorokan) mungkin perlu membantu. Pengobatan peritonsillar abscess melibatkan drainase abses. Ini dapat dilakukan dengan melakukan insisi dan drainase langsung oleh dokter. Jika seseorang mengalami masalah amandel berulang atau kondisi tertentu yang memerlukan pengangkatan amandel, dokter dapat merekomendasikan amandelktomi. Ini adalah prosedur pembedahan di mana amandel diangkat. Selain pengobatan medis, ada beberapa langkah perawatan rumah yang dapat membantu meredakan gejala penyakit amandel, seperti minum banyak cairan, istirahat yang cukup, dan menggunakan pereda nyeri atau obat penurun demam sesuai anjuran dokter. Penting untuk berkonsultasi dengan dokter atau ahli THT jika anda mengalami gejala penyakit amandel. Mereka dapat memberikan diagnosis yang tepat dan meresepkan pengobatan yang sesuai berdasarkan kondisi spesifik terkait dengan Penyakit Amandel.